-KNOW spermatogenesis and oogenesis (what each cell type looks like. Check out the pics below for help with this.
Here is a cool electron micrography with the different spermatogenic cells labeled. Here is a section of an immature teste. See the diff in the epithelium?? No spermatogenesis... Finally, here is a teste slide, can you identify the epididymus, seminiferous tubules, and all of the spermatogenic cell types?
![]() |
| Pretty straightforward. The manual does a good job differentiating the different follicle types. |
![]() |
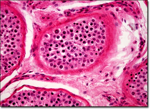
| Look first for the primary spermatocytes - they're gonna be the largest cells (#3) - now can you see the spermatagonia (#2)? |
![]() | ||||
| Immature testis - notice how there are no spermatids or spermatazoa? |
Ovaries:
Remember - ANYTHING with more than 1 layer of granulosa cells around it is a secondary follicle
Make sure you know all the parts of a graafian follicle
![]() |
| What is the red arrow pointing to??? (corona radiata) |
-Fertilization occurs in the....... OVIDUCT!!! Remember that....
Don't forget to review Urinary - let me know if you have any questions!
Reproductive Review Sheet
Key: Know the anatomical and histological names (including modifications) for the following bolded structures; assume that you will be required to find the structures indicated by * on your own slides.
***This list is not guaranteed to be exhaustive, and only includes terms from this unit. While we will not focus on quiz information from previous weeks, knowledge of previous material may be useful***
Focus on reproductive histology, but keep in mind that this unit integrates information from previous topics. Anything in the lab manual for this unit is fair game.
Male Reproductive System
Testis
· Epididymis*
· Seminiferous tubules*
· Tunica albuginea*
Seminiferous Tubules
Be able to differentiate between the different cell types in spermatogenesis. Note their characteristics.
· Leydig cells*
· Spermatagonia*
· Primary spermatocyte*
· Secondary spermatocyte*
· Spermatid*
· Spermatozoa
· Sertoli cells
Epididymis
· Epididymis epithelium*
· Muscle layers*
Vas Deferens
· Vas deferens epithelium*
· Inner longitudinal muscle*
· Middle circular muscle*
· Outer longitudinal muscle*
Seminal Vesicle
· Seminal vesicle glandular epithelium
· Muscle wall
Prostate Gland
· Urethra
· Transition zone
· Peripheral zone
Penis and Urethra
· Corpora cavernosa*
· Corpus spongiosum*
· Urethral epithelium*
· Medial septum*
· Skin epithelium*
Female Reproductive System
Ovary
· Primordial follicles*
· Primary follicles*
· Secondary follicles*
· Mature (Graffian) follicle*
· Granulosa layer*
· Corona radiate*
· Cumulus oophorus*
· Ovum*
· Theca layers*
· Zona pellucida*
· Antrum*
Oviduct
· Oviduct epithelium*
· Lamina propria*
· Submucosa*
· Muscle layers*
Uterus
· Uterine epithelium*
· Endometrium*
· Stratum functionalis*
· Stratum basalis*
· Uterine glands*
· Myometrium*
· Perimetrium
Vagina
· Vaginal epithelium*
· Lamina propria*
Renal Review Terms
Kidney Cortex
· PCT*
· DCT*
· Glomerulus*
· Parietal layer of Bowman’s capsule*
· Visceral layer of Bowman’s capsule*
· Macula densa*
Kidney Medulla
· Collecting duct*
· Thick portion of loop of Henle*
· Thin portion of loop of Henle*
· Vasa recta capillaries*
Ureter
· Ureter epithelium*
· Muscularis layers*
· Inner longitudinal*
· Outer circular*
Bladder
· Bladder epithelium
· Muscularis externa
· Inner longitudinal
· Middle circular
· Outer longitudinal
Urethra
· Urethra epithelium*




























